Patient Before & After Smile Gallery

In the The Woodlands & Sugarland Area

Before & After Gallery Featuring Results from Over 3,000 Oral Restoration Cases

Welcome to our Before and After Gallery at Dream Smile Team. Here, you can see the transformative results our patients have experienced through our advanced treatments, including dental implants, All-on-X, and wisdom teeth removal. These real-life examples showcase the exceptional care and expertise we provide, helping patients achieve improved smiles and enhanced quality of life. Explore the gallery to discover how we can help you reach your dental goals with precision, comfort, and outstanding results.

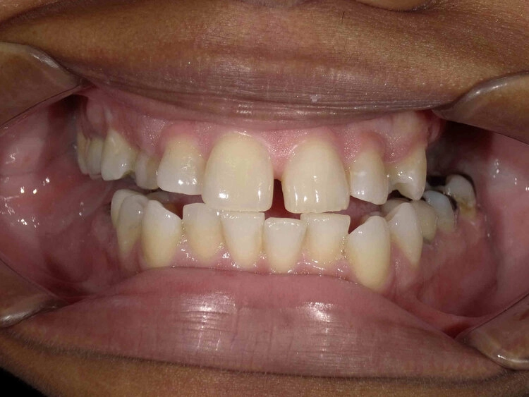
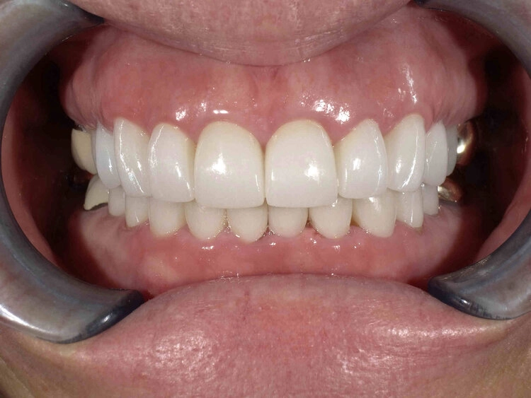
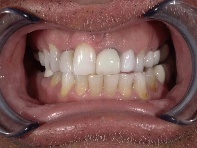
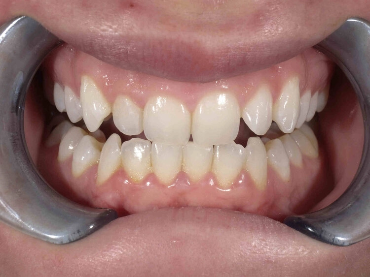
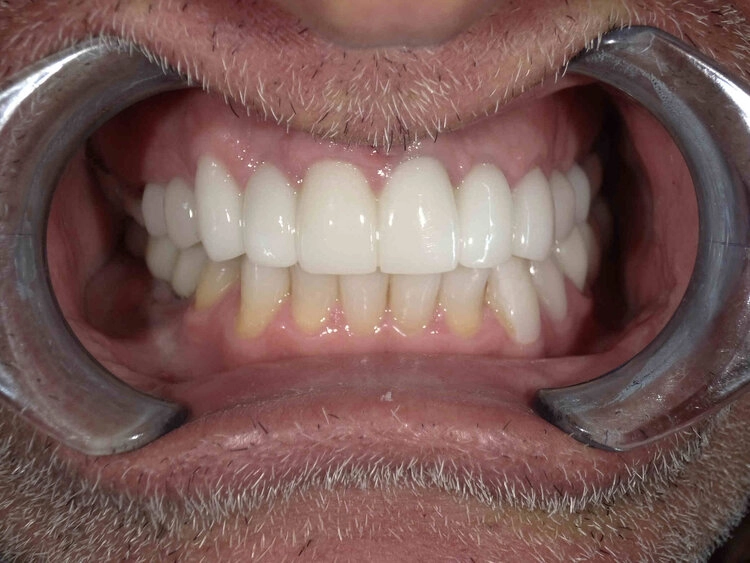
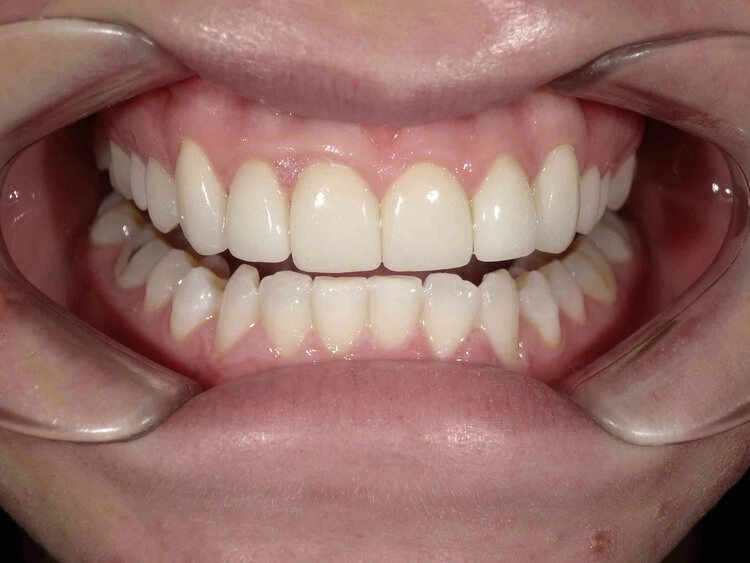
4 Upper Veneers

Before and After Before and After

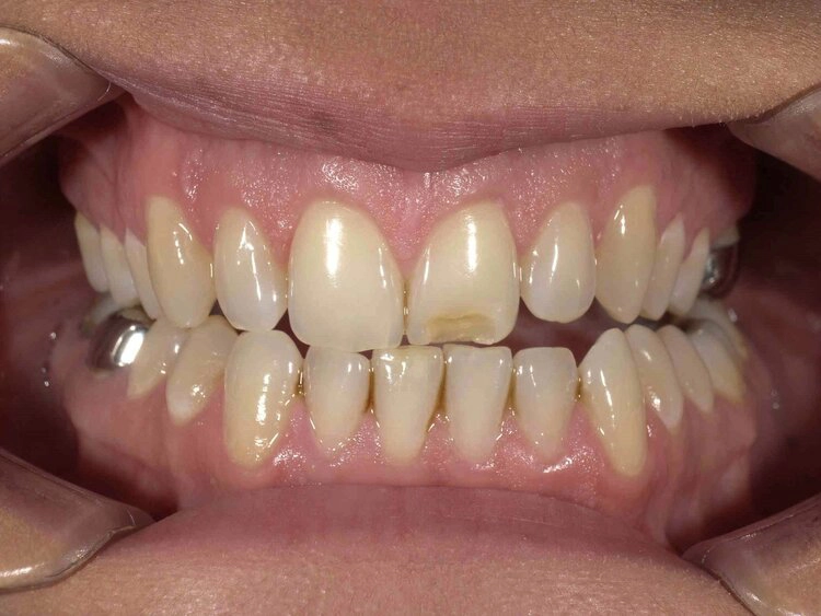
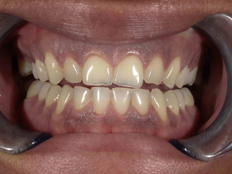
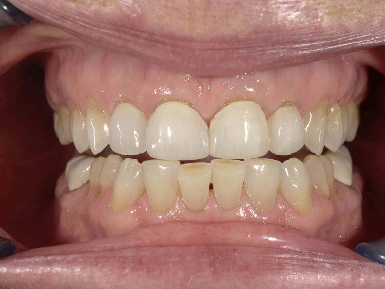
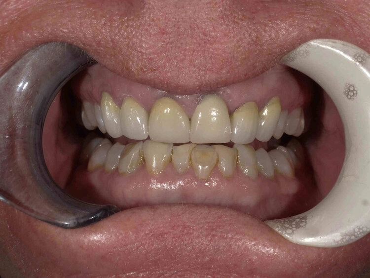
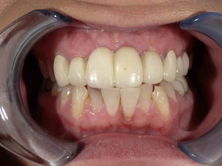
8 Unit Dental Bridge

Before and After Before and After

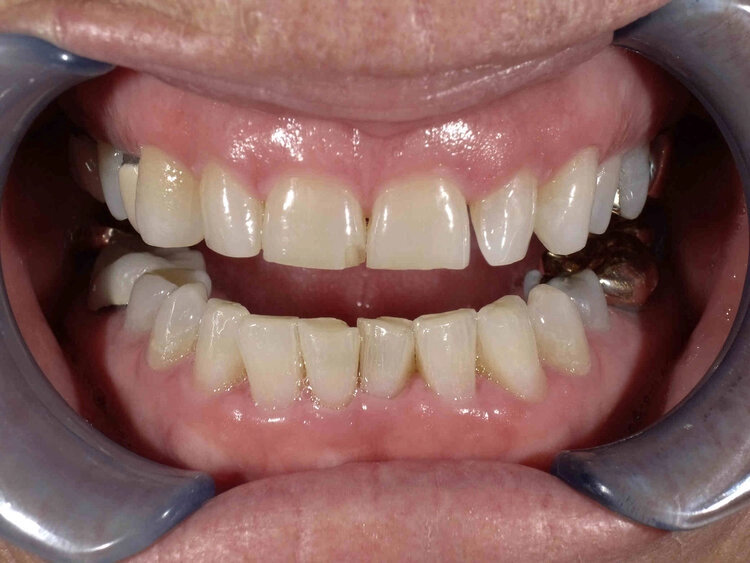
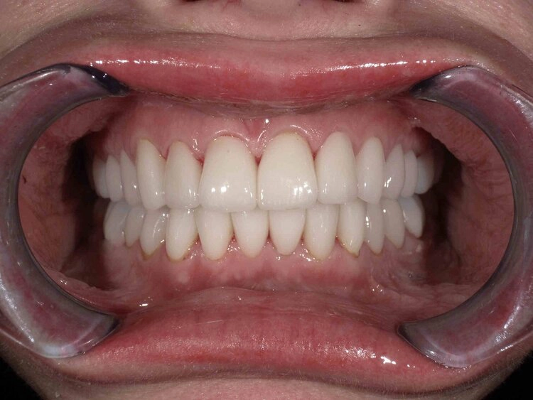
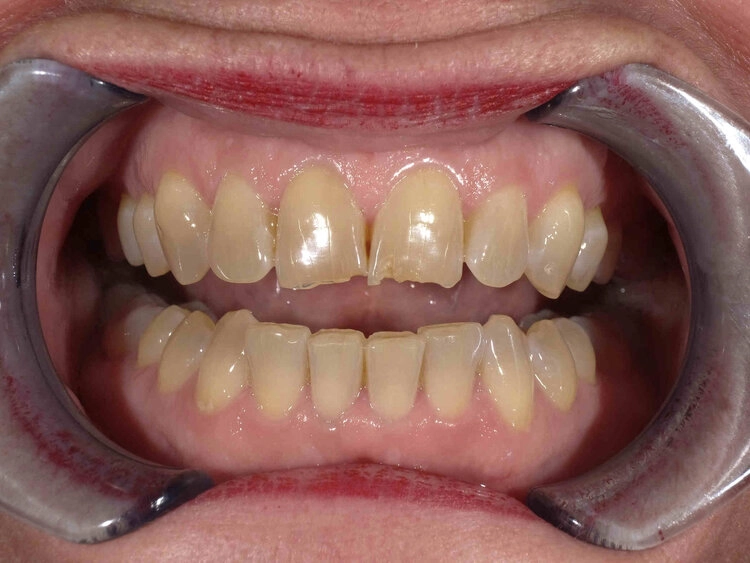
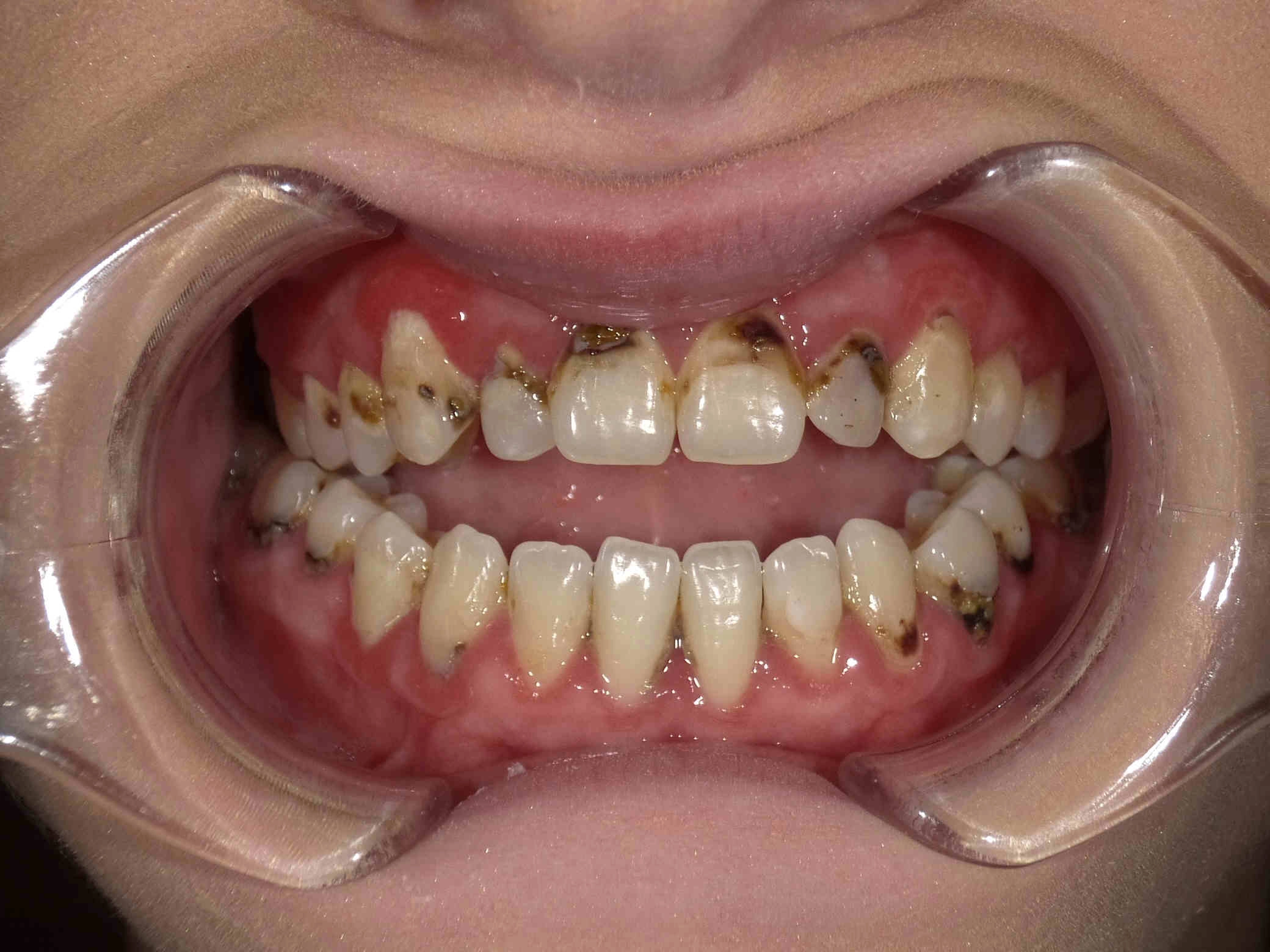
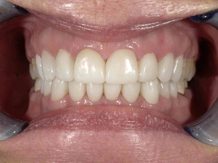
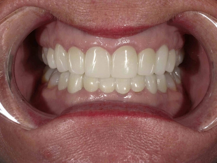
Full Mouth Cosmetics

Before and After Before and After

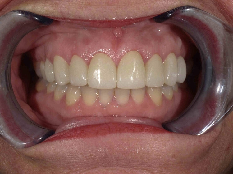
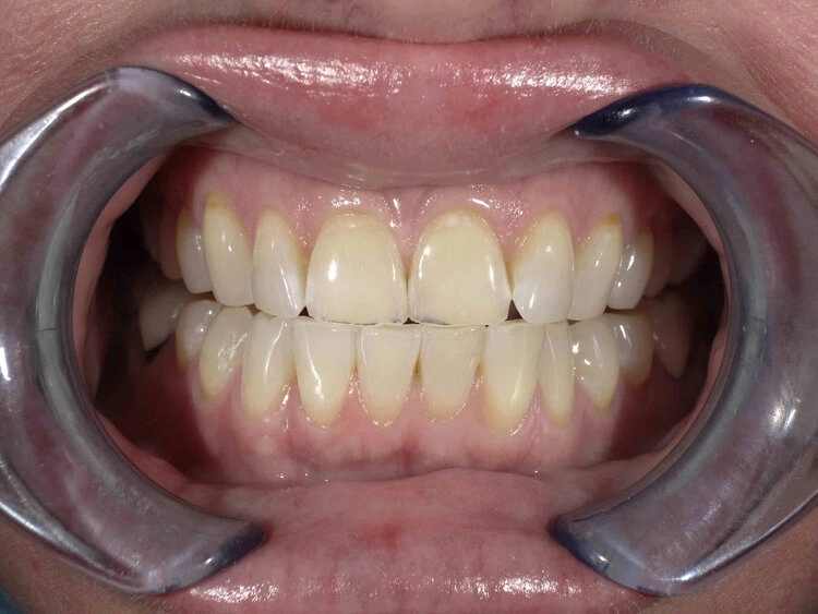
4 Upper Veneers

Before and After Before and After

6 Upper Veneers

Before and After Before and After

8 Upper & 8 Lower Veneers

Before and After Before and After

8 Upper & 10 Lower Veneers

Before and After Before and After

8 Upper Veneers

Before and After Before and After

10 Upper Veneers

Before and After Before and After

8 Upper Veneers

Before and After Before and After

6 Upper Veneers

Before and After Before and After

8 Upper & 10 Lower Veneers

Before and After Before and After

8 Upper & 8 Lower Veneers

Before and After Before and After

10 Upper Veneers

Before and After Before and After

12 Upper & 12 Lower Veneers

Before and After Before and After
5 Stars Google Logo
5-Star Google Review

"Dr Baldwin and his team are fantastic! They always take care of our family’s dental needs with top professionalism and care."

— Maddie C.
Icon

State-Of-The-Art Technologies

» Learn More
Icon

Request An Appointment

» Learn More
Alt
MEET THE DOCTOR
Clifton B. Baldwin, DDS
Learn More »
Alt
NEW PATIENT SPECIAL
Cleaning, Exam & X-Rays
Learn More »
Alt
NEW PATIENTS WELCOME
Request An Appointment
Learn More »

Office Hours

Monday
8:30am - 5:30pm
Tuesday
8:30am - 5:30pm
Wednesday
8:30am - 5:30pm
Thursday
8:30am - 5:30pm
Friday
9:00am - 1:00pm

Quick Links

Request an Appointment » New Patient Forms » Online Payment » Patient Education »
© All Rights Reserved. Dream Smile Team 2025